
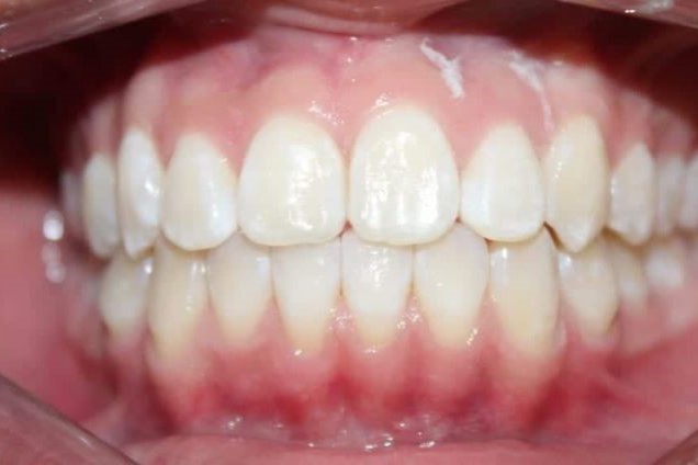
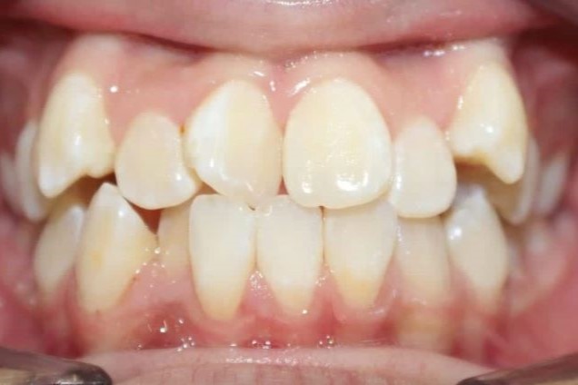
Where confidence
stays unseen.
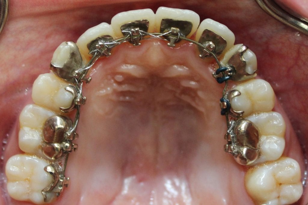
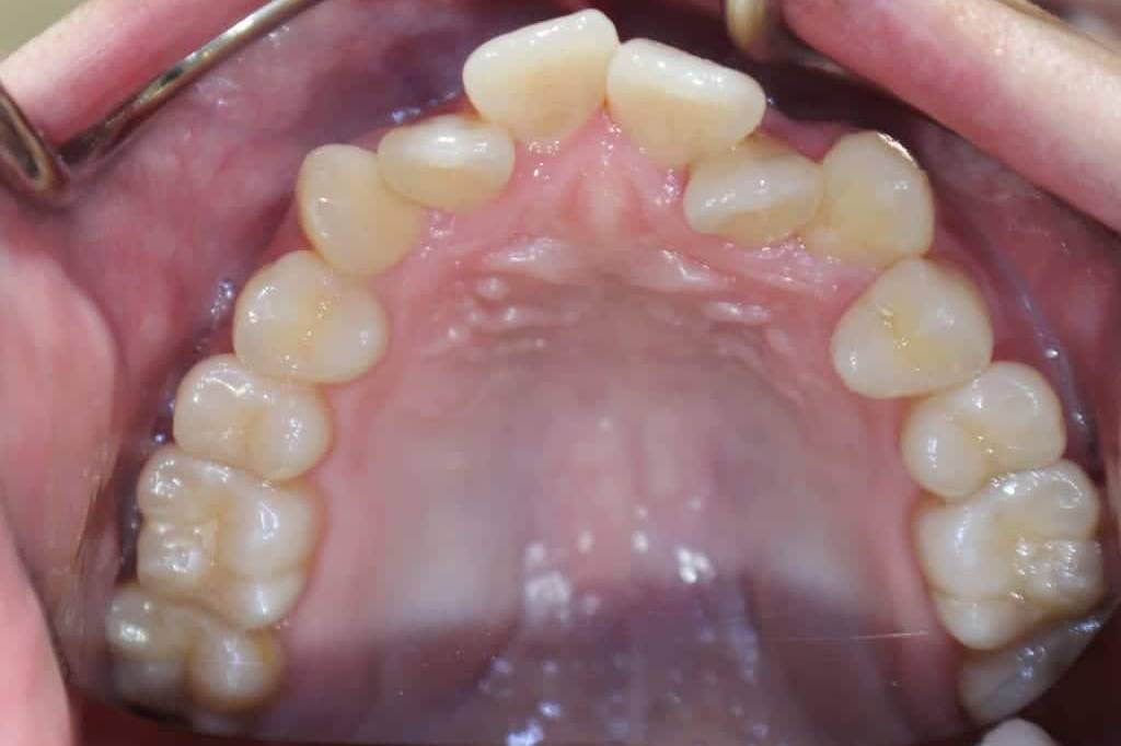
Discreet. Durable. Designed for
everyday confidence.
- Subtle ceramic brackets that blend with your natural teeth
- Crafted for strength, comfort, and lasting results
- Trusted orthodontist care in San Francisco and Sonoma
- Thoughtful care that speaks your language - English or Spanish.





